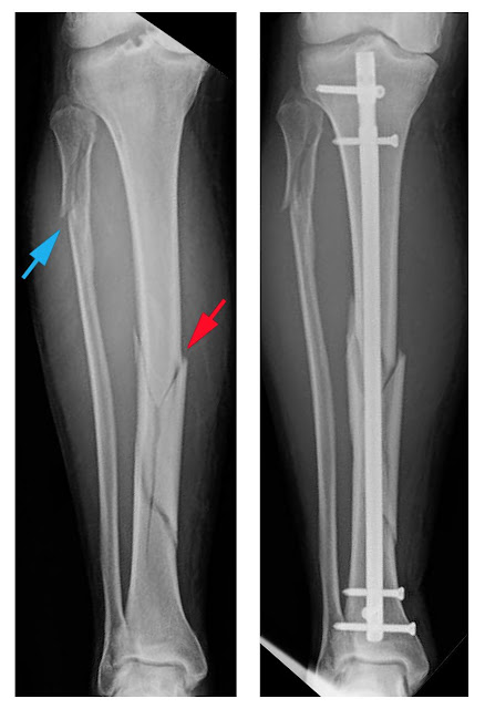
The second largest bone of the skeleton is the tibia and we can find it at the medial side of the leg. It is connected to the fibula in a lateral manner, to the talus distally and it is on the proximal side of the femur that joins the knee joint. Tibial fractures are usually caused by direct blows to the shin or trauma from falls. Accidents such as car crash or motorcycle crash can bring about a fracture to the tibia.
Types/ Classification
Fracture in the tibia and also to the fibula happens anywhere along the shaft of the bones. There can be different types of tibia fracture and here the most common:
• Open tibial fractures. These fractures can cause complications because the bones penetrate the skin and the bones are exposed.
• Stress fractures. These can happen to people who subject their extremities with repeated stress or trauma which can arise from making the tibia develop hairline cracks that can lead to weakening of the bones or even bigger fractures.
• Fractures of the tibial spine. This can result due to violent twisting of the body which makes the bone to have direct contact with the adjacent femora condyle. The tibial spine or the anterior tibial spine can be affected in this type of fracture.
• Boot-top fractures and skiing. These are termed this way because these fractures are usually achieved during skiing and mountain climbing.
• Growth plate fractures. These fractures are more common in adolescents and children and the injuries usually occur near the ends of the knee or at the ankle. This is called growth plate fractures because this fracture can disrupt the person’s bone development which can lead to unequal growth of the limbs.
• Closed fractures. The skin of the broken leg is not open or the bone is fractured but the skin does not have wounds. If the fracture is stable, it can be aligned with the use of a cast but if there is severe soft-tissue injury, the orthopedic surgeon may subject the limb to surgical treatment.
There may be tibial eminence fracture, tibial plafond fracture, plateu or tibial pilon fracture.
Diagnosis
The doctor will like to know when and how the injury happened because he will be categorizing the possible fracture to the kind of injury you have sustained in your lower limb. X-rays will reveal the real score to your tibia and if there is incomplete fracture he may subject you to bone traction or realigning of your bone and then casting. If fragments show up on the x-ray, a more detailed diagnosis will be done with the use of MRI or CT scan so that every bit of the fractured bone including stress and hairline fractures could be identified.
Causes
The main cause of tibial fractures are trauma or direct hit to the shinbone due to accidents, blows, falls or any activity that put stress to the tibial bone and the bone did not handle the tension. The shinbone is one of the most prone bones in our body that is usually fractured because all the weights in our bodies are being carried by the lower leg.
Symptoms
• There is severe pain on the shin bone
• The lower leg can be deformed
• Swelling of the lower leg
• Immobility of the leg
• Bleeding can also occur
• Bruises will appear hours after the accident
Tibial Fracture Treatment
The type of treatment can be dictated by the circumstances and the type of fracture that has occurred. The most conservative treatment would be the use of plaster fixation. For severe cases of tibial fractures, there could be operative reduction and rigid internal fixation that must be done to fix the broken tibial bone. Open reduction treatment which includes pinning, hyperextension with closed reduction and fixation in plaster is also another option
Prevention of Tibial Fractures
The best treatment of course is prevention but for athletes in order to eliminate stress fractures in their shin bones must rest for about 2 months so that the hairline cracks can heal and prevent further tibial fractures. Always consult a doctor if you feel pain in your lower leg especially when you use your shin bone during sports or when running, jumping or simply walking. The doctor will make a thorough diagnosis to your lower leg and can recommend you practices to prevent you from taking stressful activities that could harm the bones in your shin.
When to Call A Doctor
Tibial fractures are easy to detect. When a person is doing activities using the leg then suddenly complained of severe pain on his shin and there is swelling, then better take him or her quickly to the hospital. Accidents that include lower leg injury must also be considered as an emergency case.

Comments
Post a Comment
Please do not enter any spam link in the comment box.